Behandelende artsen #
Inleiding #
Drie verschillende ziekteverschijnselen waarbij onderzoek bij alle honden een vergroting van de bijnier(en) laten zien.
Anamnese #
Lola, een kruising hondje van 11 jaar (vrouwelijk, gecastreerd) had een steeds terugkerende blaasontsteking. Ze werd aangeboden voor echografisch onderzoek van de buik om te controleren of er afwijkingen in de nieren of blaas zichtbaar waren. Er werden geen belangrijke afwijkingen gezien maar wel een vergrote bijnier links.
Devil, een stoere terriër van 9 jaar (mannelijk, gecastreerd) werd met spoed aangeboden wegens sloomheid, hijgen en toegenomen buikomvang. Bij lichamelijk onderzoek werden geen duidelijke afwijkingen gevonden behalve een gespannen, wat gevoelige buik bij palpatie. Echografisch onderzoek van de buik liet iets vrij vocht zien en een sterk vergrote rechter bijnier (7cm).
Bobby, een Maltezer leeuwtje van 12 jaar (mannelijk) vertoonde toegenomen drinklust, at meer, kreeg een dikkere buik en een dunne vacht met veel los haar. Urineonderzoek liet slecht geconcentreerde urine (laag SG) zien. En bij bloedonderzoek was een van de leverenzymen (Alkalische Fosfatase, AF) verhoogd. Daarom werd een echografisch onderzoek van de buik aangevraagd. Dat liet een egaal vergrote lever zien en beiderzijds vergrote bijnieren met een bolle vorm en echoarme structuur.
Alle drie de patiënten laten dus in het verloop van het onderzoek een vergroting van de bijnier(en) zien. Maar de ziekteverschijnselen waarmee de patiënten werden aangeboden zijn sterk verschillend.
De laatste jaren worden steeds vaker vergrote bijnieren gevonden bij of het echografisch of het CT-onderzoek. Vaak omdat er specifiek naar gezocht werd gezien de symptomen van de patiënt maar soms als een toevalsbevinding.
Functie bijnieren #
De bijnieren zijn kleine orgaantjes die niet direct iets met de nieren te maken hebben qua functie maar ze liggen vlak bij de linker- en de rechternier. Deze kleine organen bestaan uit een schors (buitenkant) en merg (binnenkant). Ondanks hun geringe omvang (afhankelijk van de grootte van de hond ligt de hoogte van de bijnier tussen 5,1-8,7 mm) zijn het heel belangrijke hormoonproducerende organen. De schors produceert vooral cortisol en aldosteron. Zonder deze hormonen is leven niet mogelijk. Een te kort aan deze hormonen komt voor bij de ziekte van Addison, een te veel noemen we de ziekte van Cushing. De hormonen die door het bijniermerg geproduceerd worden (catecholaminen) zijn weliswaar heel belangrijk voor het leven maar worden ook door ander weefsel dan de bijnieren geproduceerd. De schors wordt vooral door de hypofyse bestuurd (hersenaanhangsel, die bestuurt alle endocriene klieren). Het merg wordt vooral door het autonome zenuwstelsel beïnvloed. Stimulatie van het merg treedt vooral op bij inspanning, stress, angst, te weinig circulerend volume, bij een te lage bloeddruk en bij een te kort aan bloedsuiker.
Een te grote bijnier kan duiden op:
- Cyste
- Abces
- Bloeding
- Myelolipoom (goedaardige vet tumor)
- Uitzaaiing van een tumor elders
- Verhoogde cortisolproductie door te veel stimulatie door hypofyse of door een bijniertumor
- Aldosteron producerende tumor
- Catecholaminen producerende tumor (Phaeochromocytoom)
- Incidentiloom (toevalsbevinding, geen functionele verandering)
Pheochromocytoom #
Een pheochromocytoom komt veel minder vaak voor dan een vergrote bijnier door Cushing. De klinische symptomen zijn veel vager en nogal eens niet constant optredend. Bij Cushing is meestal sprake van meer drinken, meer plassen en meer eten. Daarnaast vaak een dunnere vacht, kale plekken zonder jeuk, zwart verkleuring van de huid en spierzwakte. Bij een pheochromocytoom kunnen slecht eten, afvallen, hoge bloeddruk, snel ademen, ‘panting’, snelle hartslag, aritmie hart, bleke slijmvliezen, zwakte, angst, toevallen en ‘collaps’ optreden. Maar helaas vaak niet constant en heel wisselend in ernst. Dat betekent dat bij verdenking op een pheochromocytoom, het nuttig is de bloeddruk te bepalen maar als deze niet verhoogd is, dit nog wel enkele malen te herhalen. Een enkele keer kan bij buikpalpatie een massa gevonden worden in de regio van de nier. En soms is er sprake van vocht in de buik, gezwollen achterbenen en soms een bloeding in de buik. Bij veel patiënten met vage klachten wordt in het verloop van de diagnostiek een bloedonderzoek gedaan. In het “standaard” bloedonderzoek wat in de meeste gevallen wordt uitgevoerd, worden zelden afwijkingen gevonden die op een pheochromocytoom wijzen. Het is jaren twijfelachtig geweest wat het beste specifieke bloed- of urineonderzoek zou zijn om een pheochromocytoom aan te tonen. Momenteel wordt bloedonderzoek op metanefrine en normetanefrine het best geacht. Bij een abces, cyste of bloeding in de bijnier, geeft de echo vaak een specifiek beeld. Nader onderzoek in de vorm van de dikte aanprikken onder echogeleiding wordt niet zo vaak gedaan bij pheochromocytomen omdat er daarbij complicaties als shock, bloeddrukwisselingen, ritmestoornissen, bloeding etc. kunnen ontstaan. Dat kan bij aanprikken van diktes in de lever, milt of lymfeknopen ook gebeuren maar veel minder vaak dan bij een pheochromocytoom.
Er zijn dus heel verschillende oorzaken van vergrote bijnieren mogelijk. Dat betekent dat als bij een beeld gevend onderzoek vergrote bijnieren worden gevonden, dat er altijd aanvullend onderzoek nodig is om de juiste oorzaak te vinden.
Lola, Devil en Bobby #
Bij onze drie patiënten werd de bloeddruk gemeten. Bij Lola was deze bij herhaling normaal, bij Devil was de bloeddruk erg hoog en bij Bobby gering verhoogd. Omdat Cushing veel vaker voorkomt dan andere tumoren in de bijnier, werd bij alle drie de patiënten specifiek urineonderzoek gedaan naar Cushing (de zg. Urine cortisol/kreatinine ratio van drie opeenvolgende dagen). Dit was bij Lola en Devil normaal maar bij Bobby verhoogd. Samen met ander onderzoek toonde dit bij Bobby hypofyse afhankelijke Cushing aan. Er werd gestart met een therapie (trilostane) om de overmaat cortisol tegen te werken. Bij alle drie de patiënten werd ook bloedonderzoek ivm pheochromocytoom gedaan (metanefrine en normetanefrine). Deze waren normaal bij Lola en Bobby maar sterk verhoogd bij Devil. De therapie bij pheochromocytoom is vooral chirurgische verwijderen van de massa. Dat is enerzijds een moeilijke operatie omdat er nogal eens bloedvaten in de weg zitten, anderzijds kunnen sterk wisselende bloeddrukken optreden tijdens de narcose en hartritmestoornissen. Soms is de chirurgie nog meer bemoeilijkt door ingroei in bloedvaten. Als er ook al uitzaaiingen zichtbaar zijn is de vraag of zo een moeilijke operatie nog zinvol is. Dan is therapie om de bloeddruk te reguleren met alfa2 adrenerge blokkers als phenoxybenzamine of doxazosine de beste aanpak. Met doxazosine daalde de bloeddruk bij Devil keurig en werd hij weer een stuk actiever en vrolijker. Bij Lola werd dus geen Cushing en geen phaeochromocytoom aangetoond, geen aanwijzing voor metastase vanuit een andere tumor dus waarschijnlijk een toevalsbevinding (“incidentiloom”).
Conclusie #
Conclusie van het verhaal van onze drie patiënten: het ene bobbeltje is het andere niet.
Soms worden we verrast door een massa (zoals bij Lola), soms door hele specifieke klachten met “standaard” aanvullend onderzoek (zoals bij Bobby) en soms door een minder vaak voorkomende massa (zoals bij Devil). Het blijft dus heel belangrijk vanuit de symptomen en signalement van de patiënt een differentiaaldiagnose op te stellen. Daarna gericht aanvullend onderzoek uitvoeren om een diagnose te krijgen en vervolgens controleren of alle klachten verklaard zijn. Zeker bij endocrinologische patiënten (hormoonafwijkingen) is het vaak niet zwart-wit. Zo zijn er honden beschreven die zowel Cushing als een pheochromocytoom hadden.

Bloeddrukmeting aan de staart bij een hond.

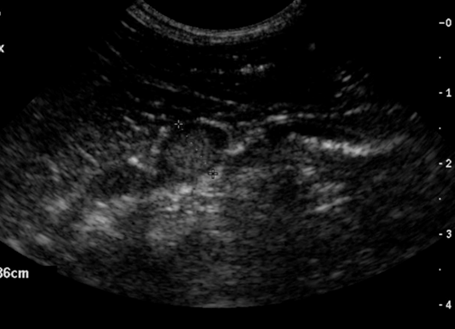
Echografisch beeld van de linkerbijnier van Lola toont een echorijke nodule in de caudale pool (incidentiloom).

Echografisch beeld van de linkerbijnier toont geen normale bijnier structuur meer. Er is een grote massa te zien met heterogene structuur. Dit is waarschijnlijk tgv een bijnieren tumor die de ziekte van Cushing heeft veroorzaakt.

Echografisch beeld van de rechterbijnier toont geen normale bijnier structuur meer. Er is een grote massa te zien met heterogene structuur. Dit is waarschijnlijk ten gevolge van pheochromocytoom (Devil).
