

Behandelend arts #
- Susanne Boroffka, Europees specialist veterinaire diagnostische beeldvorming
- Bas Wetzels, Resident ECVDI (specialist veterinaire diagnostische beeldvorming in opleiding)
- Ronald van Noort, Europees specialist veterinaire interne geneeskunde
- Joost Uilenreef, EBVS-erkend specialist anesthesiologie
- Gert ter Haar, Europees specialist veterinaire chirurgie.
Patiënt #
Een 11 jaar oude mannelijke Beagle ‘Bentley’.
Anamnese #
Bentley werd bij onze internist aangeboden met als klacht veel drinken en plassen, veel eten en een slechte vacht. Verder was Bentley vrolijk. Er waren geen andere ziektes bekend. De eigen dierenarts had al bloedonderzoek gedaan en vastgesteld dat het calcium in het bloed te hoog was.
Interne #
Bij het klinisch onderzoek door onze internist Ronald van Noort werden geen afwijkingen gevonden: de pols was KRESS, harttonen rein, normale ademgeluiden, geen vergrote lymfeklieren en geen afwijkende anaalzakjes. Er werden geen afwijkingen gevonden bij buikpalpatie of thoraxauscultatie en -percussie.
Calcium is een lastige bepaling en er worden soms foutieve waarden gerapporteerd. Omdat calcium in het bloed gebonden is aan albumine, moet ook altijd albumine bepaald worden. Er werd daarom opnieuw bloed afgenomen en opgestuurd naar het laboratorium om geïoniseerd calcium (het biologisch actieve deel) te laten bepalen (hiervoor is een speciale buis nodig!). Ook deze waarde was duidelijk verhoogd.
Hypercalciëmie komt voor als paraneoplastisch syndroom bij neoplasiën als maligne lymfoom, multipel myeloom en anaalzaktumoren. Een andere oorzaak voor hypercalciëmie is hyperparathyreoïdie. Het parathyroïd hormoon leidt tot verhoging van het bloedcalciumspiegellevel door de resorptie van calcium uit het skelet, meer opname door de darmen en minder uitscheiding door de nieren. Hyperparathyreoïdie wordt weer onderverdeeld in primaire (overproductie van PTH door de bijschildklier) of secundaire oorzaken (nutritionele of renale hyperparathyreoïdie).
Bij het echografisch onderzoek van het abdomen, uitgevoerd door onze resident Bas Wetzels onder supervisie van onze radiologe Susanne Boroffka werden geen veranderingen gevonden die de hypercalciëmie konden verklaren. Ook de röntgenopnamen van de thorax waren normaal (er werd bijvoorbeeld geen massa in het craniale mediastinum gezien).
Daarom werd besloten om opnieuw bloed af te nemen en parathyroïdhormoon (PTH) en PTH related peptide (PTHrP) te meten.
Zowel PTH als PTHrP zorgen voor een verhoging van calcium in het bloed, maar PTH wordt enkel door de parathyroïdklieren geproduceerd en PTHrP wordt door bepaalde tumoren geproduceerd.
De uitslag van het bloedonderzoek was een sterk verhoogd PTH van 49,7 pmol/L (normaalwaarden: 2,1 – 6,8 pmol/L). PTHrP was onmeetbaar laag.
De combinatie van hypercalciëmie, sterk verhoogd PTH en laag PTHrP is zeer suggestief voor een bijschildkliertumor. Daarom werd Bentley ingepland voor echografie van de hals.
Beeldvorming #
Echografisch onderzoek van de hals werd uitgevoerd. Hiervoor werd Bentley op zijn rug in een echokussen gelegd en de hals gestrekt. Bij veel dieren is voor echografisch onderzoek in dit gebied sedatie nodig, maar Bentley bleef uit zichzelf voldoende stilliggen om het onderzoek bij de wakkere hond uit te voeren.
De bijschildklieren werden gevonden door eerst de schildklieren in beeld te brengen en vervolgens hier in transversaal en sagittaal vlak doorheen te scannen. Gemiddeld zijn er twee bijschildklieren per schildklier (dus vier in totaal). Normaal tonen de bijschildklieren als kleine (<2mm) kleine echoarme nodules. Ze zijn niet altijd in beeld te brengen.
Bij Bentley was er in de craniale pool van de rechter schildklier een gering heterogene en echoarme nodule van ca. 6,6 mm zichtbaar, passend bij een vergrote bijschildklier. Caudaal in de rechter schildklier en in de linker schildklier waren er nog 2 of 3 kleine echoarme nodules zichtbaar van ca. 1-2 mm.

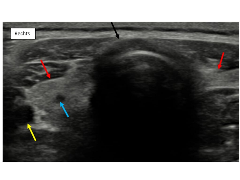
Fig.1. Het transversale echografisch beeld toont de trachea (zwarte pijl) met aan weerszijden de homogeen echorijke schildklieren (rode pijl) gelokaliseerd tussen de trachea en de arterie carotis communis (gele pijl). In de rechter schildklier is een kleine echoarme nodule zichtbaar (blauwe pijl), passend bij een normale bijschildklier.

Fig 2. Sagittaal echografisch beeld van de beide schildklieren (gele pijlen). De rechter schildklier toont in de craniale pool een grote echoarme nodule (witte pijl; ca. 6,6 mm), passend bij een vergrote bijschildklier. Caudaal in de schildklier is een kleinere echoā-āarmere structuur zichtbaar, waarschijnlijk een normale bijschildklier.
Bij het multidisciplinaire overleg met de radioloog, internist en chirurg is besloten dat chirurgische verwijdering van de vergrote rechter bijschildklier de beste aanpak voor Bentley zou zijn.ā Een andere aanpak kan echogeleide ethanolinjectie of hitte ablatie zijn.ā Het voorstel is aan de eigenaar voorgelegd en er is een afspraak voor chirurgie ingepland.
Anesthesie & Chirurgie #
Pre-anesthetisch werd uit de anamnese en klinisch onderzoek een dehydratie van 5-6% en een te hoge arteriële bloeddruk en verwijde polsdruk vastgesteld [180/100 (131)] met een rustige pols (78). Hypoparathyreoïdie, zeker in combinatie met hypercalcaemie geeft vaak aanleiding tot arteriële hypertensie, door een toegenomen spiertonus in de arteriële wand en daardoor afgenomen arteriële elasticiteit.
De nierperfusie is bij hypercalcaemie extra precair door een verhoogde vaatweerstand achter de glomerulus (postglumerulaire vasconstrictie), waardoor de autoregulatie van de nierperfusie niet normaal kan verlopen en hypovolaemie of verlaagde perfusiedruk voor de nier snel in nierschade kan resulteren.
Optimalisatie voorafgaand aan de anesthesie bestond uit een rapid infusie van 15 ml/kg IV van een Ca-vrije kristalijne correctie infuusvloeistof (NaCl 0.9%), waarna de anesthesie met een opiaat-gebaseerd protocol uitgevoerd is met een liberaal infuusbeleid (10 ml/kg) met NaCl 0.9%. Een NSAID is pre-operatief toegediend en de bloeddruk en urine-output voldeden aan de vooraf geformuleerde doelen van een gemiddelde bloeddruk tussen 70-85 mmHg en >2 ml/kg/uur respectievelijk.
Midline huidincisie van larynx tot borstingang met dissectie door subcutis tot op gepaarde mm. sternohydoideus en thyroideus, deze stomp gescheiden en peritracheale fascie ingeknipt. Hierna met steunhechtingen aan voornoemde spieren het thyroid-parathyroid complex rechts naar buiten gebracht. Schildklier ziet er normaal uit en bij palpatie chirurgisch ook niets te vinden. Craniaal is een vrij grote ronde 7mm doorsnede bijschildkliertumor te zien. Zonder beschadiging van de N. recurrens werd deze voorzichtig vrijgeprepareerd en met behulp van subtiele electrocoagulatie het tumortje verwijderd. Geen complicaties. Sluiting door adaptatie mm. sternohydoideus en thyroideus doorlopend monocryl 3-0, diepe subcutis doorlopend monocryl 3-0, oppervlakkige subcutis doorlopend monocryl 3-0 en huid subdermaal monocryl 3-0.
Na de chirurgie werd Bentley vlot wakker en kon worden ontslagen uit de kliniek met als advies rust, een paar dagen pijnstilling en 7 dagen amoxicilline en clavulaanzuur. ā ā
De nodule werd opgestuurd voor histopathologisch onderzoek.
Uitslag histopathologisch onderzoek #
Bij het pathologisch onderzoek was de diagnose: ‘vermoedelijk neoplastische proliferatie (waarschijnlijk ‘chief cell’ origine)’.
Nabehandeling en afloop #
Bij ca. 25% van de honden waarbij een hyperfunctionerende bijschildklier wordt verwijderd treedt hypocalciëmie op, meestal binnen 1-6 dagen na de operatie. Dit kan leiden tot verschijnselen als krampen, tetanie, ataxie, hijgen en koorts.
Het is raadzaam de calciumspiegel enkele malen te controleren omdat de resterende bijschildklieren onderdrukt zijn door de tumor. Ook is het verstandig om de eigenaren goed om de eerste verschijnselen van hypocalciëmie te laten letten.
Het geïoniseerde calcium daalde na de operatie van 1,78 naar 1,44 mmol/L en Bentley heeft gelukkig geen verschijnselen van hypocalciëmie vertoond. Na de operatie was er een sterke klinische verbetering zichtbaar, Bentley leek veel enthousiaster en het vele drinken en plassen was veel minder geworden.