Behandelend arts #
Ronald van Noort, Europees Specialist Interne Geneeskunde, dipl. ECVIM-CA
Patiënt #
Een 8 jaar oude mannelijke, gecastreerde Rottweiler kruising.
Anamnese #
Aangeboden bij de dierenarts wegens diarree. Deze constateerde een gespannen, dikke buik die undulatie positief was. Punctie leverde helder, kleurloos vocht op. Bloedonderzoek liet een verlaagd albumine zien (20g/l met ref 24-38 g/l). Hierdoor werd aan Protein Loosing Enteropathy gedacht. Hond verbeterde niet met de ingestelde therapie (metrazol en furosemide) en werd verwezen naar de SDU. Bij PLE kan zeker ascites ontstaan maar eigenlijk pas als albumine lager dan 15 g/l is (en meestal pas onder 12g/l).
Bevindingen #
Bij het algemeen onderzoek werd een zwakke maar regelmatige pols gevonden, zeer zwakke ictus cordis en bij auscultatie zachte, reine harttonen. Thorax percussie gaf verhoogde ventrale demping. Het ECG liet een sinusritme zien, geen aanwijzingen voor vergroting van atria of ventrikels, normale hartas, aanwijzing voor myocardiale hypoxie en een elektrische alternans (afwisselend hoge en lage R toppen). Dat is zeer suggestief voor pericard overvulling (soms bij liquothorax). Dit veroorzaakt druk op het hart wat vooral problemen voor het rechter deel van het hart oplevert met als gevolg stuwing in onder andere de lever en darm en ascites ontwikkeling.

Diagnose #
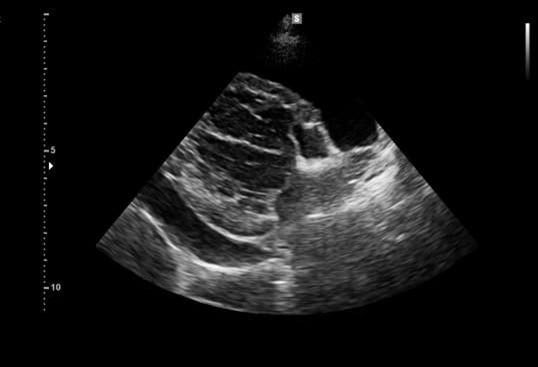
De echo thorax gemaakt door onze specialist diagnostische beeldvorming Susanne Boroffka, liet ernstige pericard overvulling zien met compressie van het rechter atrium. Geen duidelijke tumor zichtbaar maar kan dat helaas niet uitgesloten worden.


Behandeling #
Onder echobegeleiding werd het pericard aangeprikt en 850ml dikke, bloederige vloeistof afgezogen. Het komt niet vaak voor maar soms vindt de cytoloog tumorcellen in deze vloeistof dus voor de zekerheid zijn directe uitstrijkjes en een EDTA buisje voor cytospin ingestuurd. Maar er werden geen tumorcellen gevonden.
Advies & therapie #
Bij pericard overvulling is furosemide gecontra-indiceerd omdat dit de bloeddruk kan verlagen waardoor het hart nog minder weerstand tegen de pericard overvulling kan geven en kan collaberen. Nu het pericard niet meer overvuld was bij de hond, kan furosemide nuttig zijn om de ascites te doen verdwijnen. Helaas recidiveert pericard overvulling regelmatig en soms wordt later alsnog een tumor gevonden. Bij herhaald recidief, is chirurgisch een luikje maken in het pericard nuttig. Het teveel geproduceerde vocht hoopt dan niet op in het pericard maar loopt in de thorax waar een groter resorberend oppervlak is en het hart niet wordt samen gedrukt. Vaak is het nuttiger het pericard chirurgisch te verwijderen.
Resultaat #
De Rottweiler kruising knapte duidelijk op, het ECG toonde weer hogere R-toppen van gelijke hoogte en geen premature ventriculaire complexen (VPC’s). Deze ontstaan soms spontaan, soms door aanprikken van het myocard.
