Expertise in hartziekten bij huisdieren #
Heeft u van uw dierenarts een verwijzing gekregen voor vervolgonderzoek aan het hart of behandeling van een hartziekte? Ons cardiologie dierenartsen staan voor uw dier klaar. Onze cardiologen hebben aanvullende opleidingen en jarenlange praktische ervaring een brede expertise opgebouwd in hartziekten bij honden en katten.
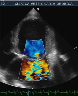
Moderne apparatuur en technieken #
Voor alle onderzoeken maken we gebruik van moderne echo-apparatuur.
Wanneer uw dier een te snelle, te langzame of onregelmatige hartslag heeft of als uw dier lijdt aan flauwtes (bewustzijnsverlies) dan is een ECG (ook wel EKG, in de volksmond "hartfilmpje") de aangewezen methode dit verder te onderzoeken. Hierbij wordt de elektrische activiteit in het hart gemeten.

Hartruis bij uw dier? #
Ons advies is om niet te lang te wachten met een aanvullend hartonderzoek. Aan de hand van de leeftijd, het ras, de aan- of afwezigheid van klinische klachten en de ernst van de hartruis kunnen we vaak al de ernst van de hartziekte inschatten. Met een hartecho kan duidelijk worden wat de onderliggende oorzaak is voor de hartruis.
Waarom naar een ziekenhuis voor dieren #
Net als bij mensen, kunnen dieren voor complexe zorg verwezen worden naar een ziekenhuis voor dieren: een verwijscentrum. Hier werken dierenarts-experts of dierenarts-specialisten met veel kennis en ervaring in een bepaald vakgebied. Ontdek in deze video hoe de diergeneeskunde in Nederland eruit ziet, en hoe u de beste zorg voor uw dier vindt. Vragen of twijfels? Neem gerust contact met ons op.
Bekijk ook: Zorg Wijzer
Afspraak maken #
U kunt alleen met een verwijzing van uw dierenarts terecht bij team cardiologie. Uw dierenarts kan beoordelen of het nodig is dat een dierenarts-cardioloog naar uw dier kijkt. U kunt ook zelf om een verwijzing vragen bij uw dierenarts.
Twijfelt u, of heeft u vragen over behandelingen, onderzoeken of kosten? Neem dan gerust even contact op met ons, we helpen u graag verder.
