Afgelopen maand mochten we een wel héél bijzondere patiënt ontvangen bij de Specialistische Dierenkliniek Utrecht: de 1 jaar oude cheeta Maisha uit Safaripark Beekse Bergen.
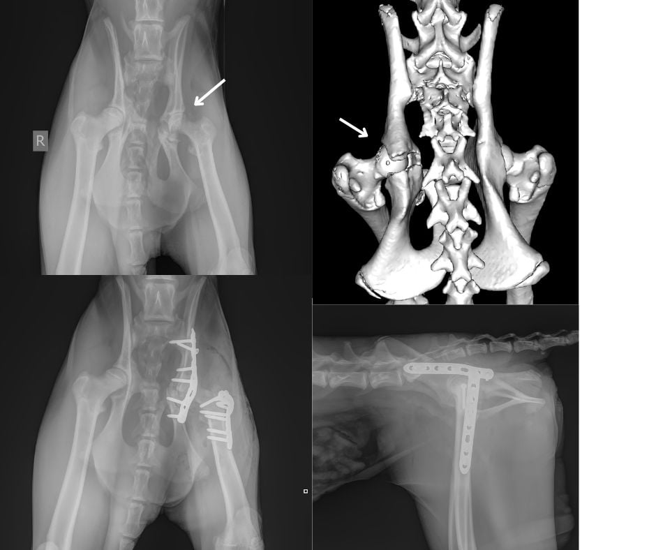
Cheeta Maisha begon plotseling ernstig mank te lopen en gebruikte haar linker achterpoot helemaal niet meer. In het park werd al snel duidelijk dat er iets goed mis was, en daarom heeft de dierenarts van de Beekse Bergen Fokko Klip Maisha laten slapen om haar achterbeen te kunnen onderzoeken en dan ook röntgenopnamen te maken. De röntgenopnamen werden aan de SDU-radiologen Dr. Susanne AEB Boroffka, dipl.ECVDI, PhD en Bas Wetzels (res.ECVDI) gestuurd voor interpretatie. Zij vonden bij de röntgenopnamen de sterke verdenking van een breuk in het linker heupgewricht. Zij hebben met Europees Specialist Chirurgie Edgar Scheepens (Dipl.ECVS) overlegd en samen met de dierenartsen van Beekse Bergen werd besloten haar naar de SDU te brengen voor verder onderzoek.
Eerst heeft Edgar Scheepens Maisha onder narcose al haar gewrichten onderzocht en voelde een subtiele kraken bij haar linker heupgewicht. Om de achterbenen goed te kunnen onderzoeken hebben we een uitgebreide CT-scan gemaakt. Daarmee wilden we niet alleen goed kijken naar het bekken, maar ook andere mogelijke verwondingen of bijzonderheden uitsluiten, zoals schade aan de rug, heup of organen (en natuurlijk om prachtige CT-beelden van een Cheeta te krijgen). Gelukkig bleek dat verder alles in orde was maar de bekkenbreuk was wel fors.

De breuk in haar heupkom (acetabulum) was waarschijnlijk al zo’n 10 dagen oud en daardoor extra lastig te herstellen. Er was al wat botweefsel gaan vormen op de verkeerde plekken, waardoor het lastiger werd om alles goed terug te zetten.
Toch is het Europees specialist chirurgie Edgar Scheepens (dipl.ECVS), met assistentie van Europees specialist chirurgie Prof. Björn Meij en Europees specialist chirurgie Nicolien van Klaveren(dipl.ECVS) gelukt om Maisha succesvol te opereren. De breuk is zo goed mogelijk hersteld met een metalen plaat en meerdere schroeven om het gewricht weer stabiel te krijgen.

Maisha is dezelfde middag weer terug naar de Beekse Bergen vervoerd, waar ze rustig kan herstellen onder het toeziend oog van haar verzorgers. Naast antibiotica en pijnstilling, kreeg Maisha zoals Europees specialist anesthesiologie Joost Uilenreef geadviseerd heeft ook als extra pijnstilling en ter milde ontspanning gabapentine. Over zes weken volgt er een controle. Lees in de bijgevoegde link een stukje literatuur over het gebruik van Gabapentine bij cheeta’s.
Dit soort operaties vergen niet alleen expertise en precisie, maar ook goede samenwerking tussen dierenartsen, chirurgen en verzorgers. We zijn trots dat we ons steentje mochten bijdragen aan het herstel van deze bijzondere patiënt.
