Vandaag willen we het verhaal delen van Kyra, een Vizsla die bijna 14 jaar oud is en ons opnieuw laat zien hoe bijzonder sterk senioren kunnen zijn. In 2022 werd ze bij ons aangeboden i.v.m een tumor in de anaalzak. Op de CT-scan bleken haar lymfeklieren niet vergroot, echter werd er wel een tumor in de rechter voorste longkwab gezien.

De anaalzaktumor werd verwijderd en met een tweede ingreep werd de longkwab tumor thoracoscopisch verwijderd. Het bleken 2 verschillende type tumoren te zijn. Waarbij de longkwabtumor een gemiddelde levensverwachting van 12-20 maanden heeft en de anaalzaktumor 16 maanden heeft.
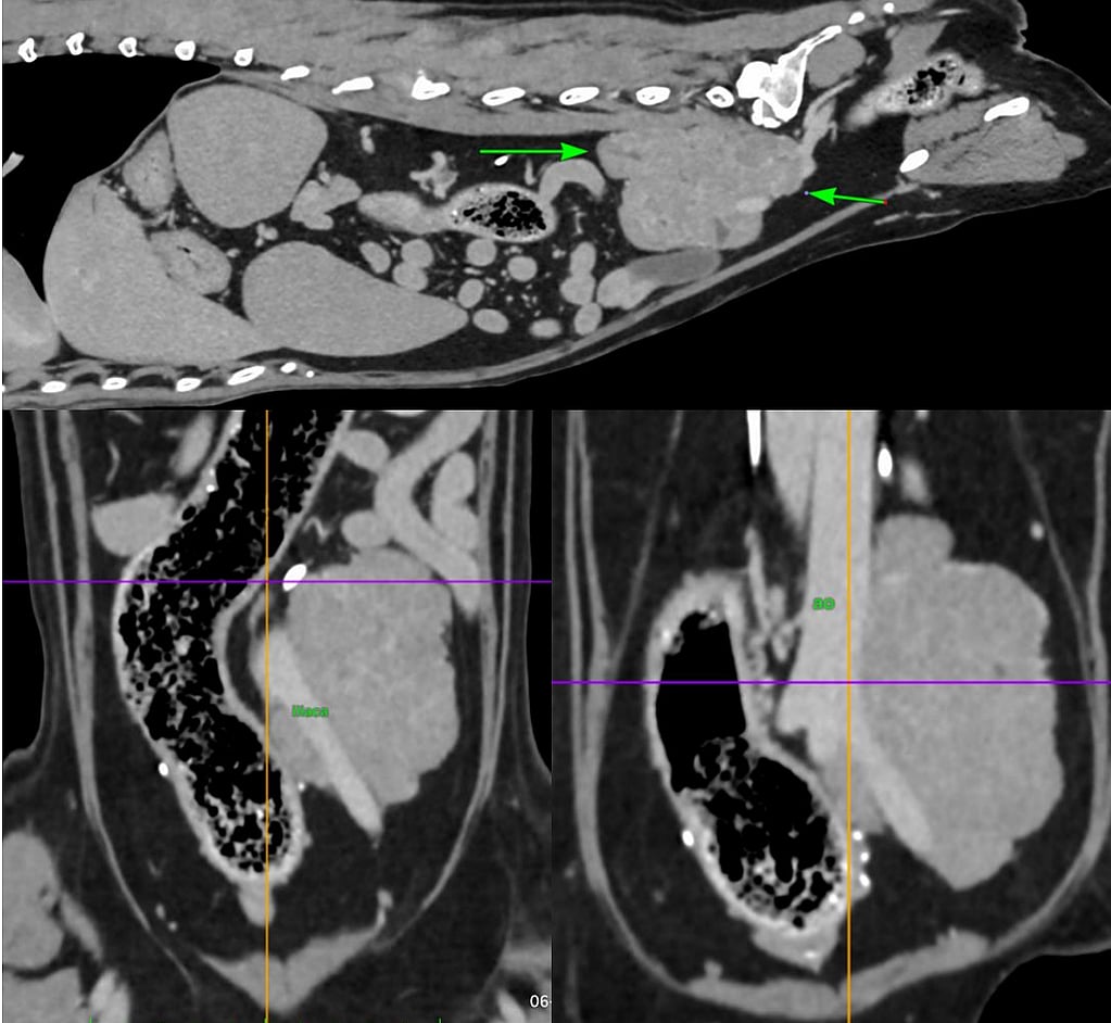
Elke 3 maanden kwam Kyra op oncologie controle. Begin januari 2025 kwam ze i.v.m. blaasproblemen. Bij het echografisch onderzoek door onze Europees Specialist Radiologie Susanne Boroffka werd er een enorm grote massa ontdekt achter in de buik. Dit bleek een sterk vergrootte lymfeklier te zijn. Uit de punctie bleek dat het ging om een uitzaaiing van de anaalzaktumor die 3 jaar eerder was verwijderd. Ook maakte deze tumor een hormoon dat zorgde voor te veel calcium in het bloed.
Kyra is vervolgens geopereerd door onze Europees Specialist Chirurgie Nicolien van Klaveren. De lymfeklier zat stevig vast aan zowel de aorta als de vena cava (twee grote belangrijke bloedvaten), maar met veel precisie en geduld kon deze volledig worden verwijderd. Kyra herstelde goed na de operatie en mocht dezelfde dag alweer naar huis. De lymfeklier is opgestuurd voor pathologisch onderzoek.
Aanvullend is Kyra op de chemotherapie gezet (palladia). Inmiddels zijn we alweer een jaar verder en loopt ze nog steeds vrolijk rond. We delen Kyra’s verhaal omdat vroegtijdige herkenning bij kanker écht een verschil kan maken, zeker bij oudere dieren. November was ‘Pet Cancer Awareness month’. We worden dagelijks geconfronteerd met dieren met kanker.